220713_InstituteStageFigure_BetaCell

Solimena Lab

Molecular Diabetology

Our laboratory is interested in the cell biology of beta cells of the endocrine pancreas. Pancreatic beta cells play a key role in glucose homeostasis by releasing the glucose-lowering hormone insulin. 

Follow us on X

About our work

Our laboratory is interested in the cell biology of beta cells of the endocrine pancreas. Pancreatic beta cells play a key role in glucose homeostasis by releasing the glucose-lowering hormone insulin. Autoimmune destruction of beta cells leads to the development of type 1 diabetes mellitus, whereas an impairment of insulin secretion is implicated in the pathogenesis of type 2 diabetes mellitus. Our research is focused on the insulin secretory granules, i.e. the organelles devoted to the storage and regulated release of insulin in response to glucose and other stimuli.

Research Topics

Our ultimate goal

The ultimate goal is to apply the information obtained through our studies towards the development of novel approaches for the treatment of type 1 and type 2 diabetes.

To pursue these studies we apply a large variety of molecular, biochemical and imaging techniques both in vitro (in insulinoma cells and purified pancreatic islets) and in vivo (in transgenic and knock-out mice).

The Solimena Group

Michele_Solimena_2000x2000_MunichPurple
Prof. Dr. Michele Solimena

Institute Director

View profile
Katja Pfriem 2000x2000 Munich Purple
Katja Pfriem

Administrative Coordination

Yanni Morgenroth 2000x2000 Cyan
Yanni Morgenroth
Dana Krueger Setcard Portrait 2000x2000 Cyan
Dana Krüger

Administration

Carla Münster 2000x2000 Setcard Cyan
Carla Münster

Technical Assistant

Porträt von Eyke Schoeniger
Eyke Schöniger

Technical Assistant

Porträt Juha Torkko 2000x2000 Cyan Setcard
Juha Torkko, PhD

Postdoc

MuellerA_2000x2000_MunichPurple
Dr. Andreas Müller

Postdoc

Portrait Carolin Eckert
Carolin Eckert

Technical Assistant

Daniela Friedland Portrait 2000x2000 Munich Red
Daniela Friedland

Technical Assistant

Katharina Ganß 2000x2000 Setcard MunichRed
Katharina Ganß

Technical Assistant

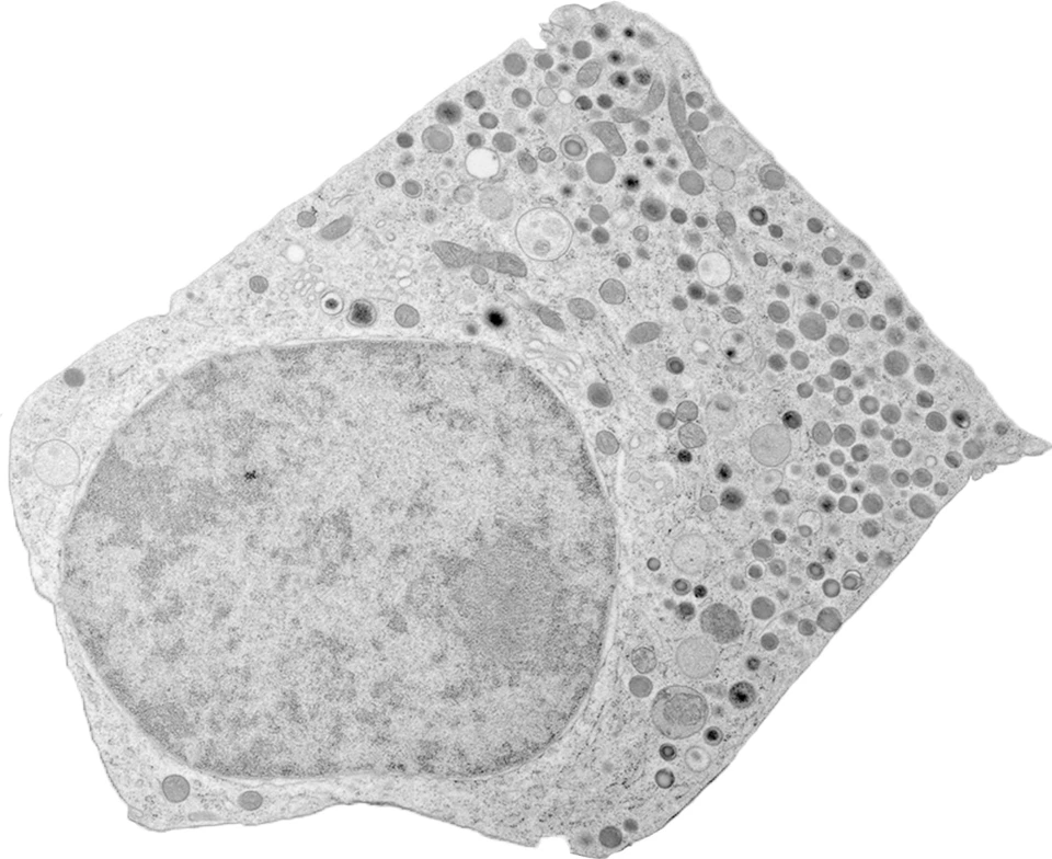
211013_NEWS_EM_Atlas_Nature_Fig.1

Ongoing Projects

Imaging

Elucidation of microtubule networks of beta cells via electron microsocopy

A surgeon's team in uniform performs an operation on a patient at a cardiac surgery clinic. Modern medicine, a professional team of surgeons, health.

LIDOPACO

Natural History of Type-2 Diabetes in Beta Cells - Novel Insights from Pamcreatic Living Donors

Immunsystem

Type-1 Diabetes

Cell Biologies of Enteroviruses in Beta Cells and Type-1 Diabetes

Selected Publications

See all

Gloyn AL, Ibberson M, Marchetti P, Powers AC, Rorsman P, Sander M, Solimena M

Every islet matters: improving the impact of human islet research

Kemter E, Müller A, Neukam M, Ivanova A, Klymiuk N, Renner S, Yang K, Broichhagen J, Kurome M, Zakhartchenko V, Kessler B, Knoch KP, Bickle M, Ludwig B, Johnsson K, Lickert H, Kurth T, Wolf E, Solimena M

Sequential in vivo labeling of insulin secretory granule pools in INS-SNAP transgenic pigs

Wigger L, Barovic M, Brunner AD, Marzetta F, Schöniger E, Mehl F, Kipke N, Friedland D, Burdet F, Kessler C, Lesche M, Thorens B, Bonifacio E, Legido-Quigley C, Barbier Saint Hilaire P, Delerive P, Dahl A, Klose C, Gerl MJ, Simons K, Aust D, Weitz J, Distler M, Schulte AM, Mann M, Ibberson M, Solimena M

Multi-omics profiling of living human pancreatic islet donors reveals heterogeneous beta cell trajectories towards type 2 diabetes

Müller A, Schmidt D, Xu CS, Pang S, D'Costa JV, Kretschmar S, Münster C, Kurth T, Jug F, Weigert M, Hess HF, Solimena M

3D FIB-SEM reconstruction of microtubule-organelle interaction in whole primary mouse β cells

Hoboth P, Müller A, Ivanova A, Mziaut H, Dehghany J, Sönmez A, Lachnit M, Meyer-Hermann M, Kalaidzidis Y, Solimena M

Aged insulin granules display reduced microtubule-dependent mobility and are disposed within actin-positive multigranular bodies

Mziaut H, Trajkovski M, Kersting S, Ehninger A, Altkruger A, Lemaitre RP, Schmidt D, Saeger HD, Lee MS, Drechsel DN, Müller S, Solimena M

Synergy of glucose and growth hormone signalling in islet cells through ICA512 and STAT5

Knoch KP, Bergert H, Borgonovo B, Saeger HD, Altkrüger A, Verkade P, Solimena M

Polypyrimidine tract binding protein promotes insulin secretory granule biogenesis

Berghs S, Aggujaro D, Dirkx R, Maksimova E, Stabach P, Hermel JM, Zhang JP, Philbrick W, Slepnev V, Ort T, Solimena M

betaIV spectrin, a new spectrin localized at axon initial segments and nodes of Ranvier in the central and peripheral nervous system

Solimena M, Dirkx R, Hermel JM, Pleasic-Williams S, Shapiro JA, Caron L, Rabin DU

ICA 512, an autoantigen of type I diabetes, is an intrinsic membrane protein of neurosecretory granules

Contact us!

Katja Pfriem 2000x2000 Munich Purple
Katja Pfriem

Administrative Coordination