[Translate to German:]

Mit künstlicher Intelligenz gegen Bluterkrankungen

New Research Findings Computational Health Health AI

Wie lassen sich Bluterkrankungen besser diagnostizieren? Dieser Frage geht eine Forschungsgruppe unter der Leitung von Helmholtz Munich nach. Ihr Ziel ist es, die zeitintensive mikroskopische Begutachtung von Knochenmarkzellen durch künstliche Intelligenz (KI) zu erleichtern. Dafür veröffentlichten Forschende die bisher größte, öffentlich zugängliche Datenbank mit mikroskopischen Aufnahmen von Knochenmarkszellen. Diese nutzen sie als Basis für ein KI-Modell mit hohem Potenzial für die Anwendung in der Routinediagnostik.

Um Bluterkrankungen zu diagnostizieren erfolgt in hämatologischen Laboren weltweit tausendfach pro Tag die manuelle Klassifizierung von Knochenmarkszellen, eine seit mehr als 150 Jahren etablierte Methode. Dabei analysiert geschultes Personal gefärbte Präparate von Knochenmarkzellen unter dem Lichtmikroskop. Dies ist ein aufwändiger und zeitintensiver Vorgang – vor allem, wenn man nach seltenen, aber diagnostisch relevanten Zellen sucht.

Künstliche Intelligenz könnte zu einem wichtigen Eckpfeiler der Diagnostik werden. Allerdings mangelte es bislang an quantitativ und qualitativ ausreichenden Daten zum Training entsprechender Algorithmen.

Größte öffentliche Datenbank für Knochenmarkzellen

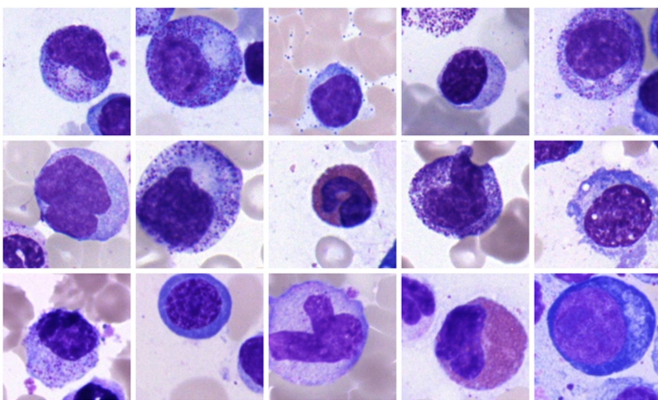
In einer Kooperation von Helmholtz Munich mit dem LMU Klinikum, dem MLL Münchner Leukämie Labor (das weltweit zu den größten Diagnostikanbietern auf diesem Gebiet zählt) und dem Fraunhofer-Institut für Integrierte Schaltungen IIS in Erlangen erstellte die Forschungsgruppe die bisher größte öffentlich zugängliche Sammlung an mikroskopischen Einzelzellbildern aus Knochenmarkspräparaten. Die Datenbank besteht aus mehr als 170.000 Einzelzellbildern von über 900 Patient:innen mit verschiedenen Bluterkrankungen.

Datenbank als Basis für künstliche Intelligenz

„Auf Basis dieser Datenbank haben wir ein neuronales Netz entwickelt, das vorherige KI-Algorithmen zur Zellklassifikation an Genauigkeit, aber auch an Verallgemeinerbarkeit übertrifft“, sagt Christian Matek, Erstautor der neuen Studie. Bei dem neuronalen Netz handelt sich um ein Konzept aus dem Bereich des tiefen maschinellen Lernens, das speziell für das Verarbeiten von Bildern geeignet ist. „Die Analyse von Knochenmarkszellen ist bisher noch nicht mit modernen neuronalen Netzen bearbeitet worden“, führt Christian Matek aus, „was auch daran liegt, dass hochqualitative, öffentliche Datensätze bislang nicht verfügbar waren.“

Die Forschenden planen, die Knochenmarkszelldatenbank weiter auszubauen, um ein breiteres Spektrum an Befunden erfassen und das Modell prospektiv validieren zu können. „Die Datenbank und das Modell sind für Forschung und Lehre frei verfügbar – für die Schulung von Fachpersonal oder als Referenz für weitere KI-basierte Ansätze, beispielsweise zur Blutkrebsdiagnostik“, bekräftigt Studienleiter Carsten Marr.

Weitere Details zur Studie in dieser Blood-Podcast-Folge: <link https: share.transistor.fm s extern>share.transistor.fm/s/534f6209

Zu den Personen

Dr. Carsten Marr ist Direktor des Helmholtz Munich Institute of AI for Health. Dr. Christian Matek ist Mitglied seiner Arbeitsgruppe sowie Wissenschaftler an der Medizinischen Klinik und Poliklinik III am LMU Klinikum München.

Originalpublikation

Matek et al., 2021: <link https: ashpublications.org blood article extern>Highly accurate differentiation of bone marrow cell morphologies using deep neural networks on a large image dataset. Blood, DOI: 10.1182/blood.2020010568

Verwandte Kommentare: <link https: ashpublications.org blood article can-the-computer-see-what-the-human-sees extern>ashpublications.org/blood/article/138/20/1907/477922/Can-the-computer-see-what-the-human-sees