Rodriguez-Calvo_islet

Research Group: Type 1 Diabetes Pathology

We use cutting-edge microscopy and image analysis to study the human pancreas in health and disease.

Website Institute

Lead Scientist

We use cutting-edge microscopy and image analysis to study the human pancreas in health and disease.

Website Institute

Lead Scientist

The research area is directed at identifying key immunopathological aspects of human type 1 diabetes that will assist in reaching effective prevention or reversal of the disease.

Key to achieving this is to define the interactions between environmental, immune, and intrinsic beta cell factors that underlie the inability of patients with type 1 diabetes to maintain immunological tolerance.

Our work is focused on the human pancreas, defining and characterizing the hallmarks of type 1 diabetes. We closely collaborate with the Network for Pancreatic Organ Donors with Diabetes (nPOD) to study the human pancreas from deceased donors at different stages of their disease. This has allowed us to discover novel pathological aspects, which have opened new lines of investigation that will shape our understanding of the natural history of type 1 diabetes.

Rodriguez-Calvo_islet

Specific Topics

Proinsulin processing and beta cell dysfunction

Under physiological circumstances, proinsulin, the precursor of insulin, is processed very efficiently to insulin. However, high amounts of proinsulin have been detected in the blood and pancreas of patients at risk of developing type 1 diabetes and after diagnosis, indicating a possible disruption of insulin synthesis. We are interested on understanding when these alterations occur and if a possible consequence of this disruption might be the accumulation of incorrect forms of proinsulin in beta cells, which might recognized by the immune system, making beta cells more visible.

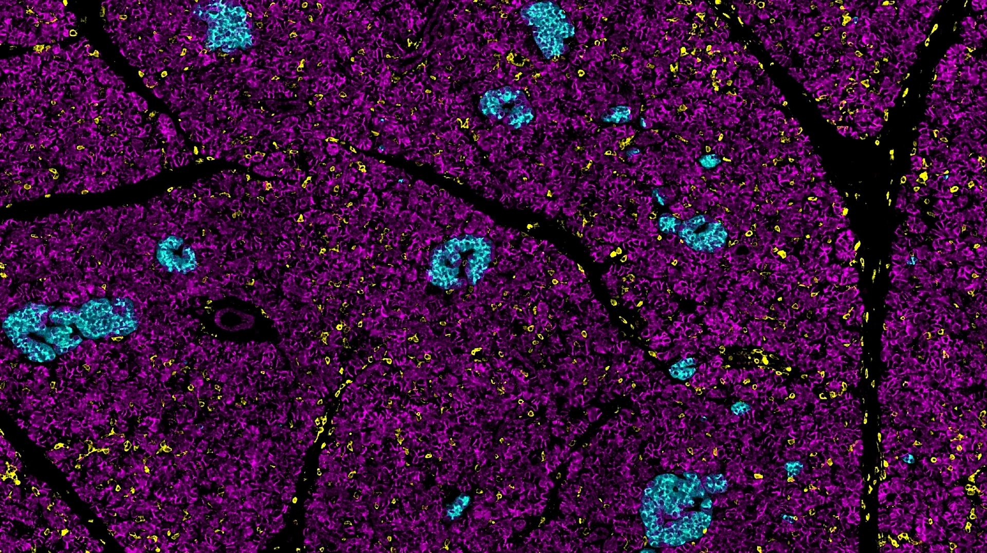
Rodriguez-Calvo_insulitis

The role of the immune system and its interaction with beta cells

Several studies have shown that lymphocytes from patients with type 1 diabetes are able to recognize parts of the proinsulin molecule and destroy beta cells. We are interested in understanding how aberrant proinsulin could be produced and how the immune system recognizes it. This could identify opportunities for therapeutic intervention before beta cells are completely destroyed.

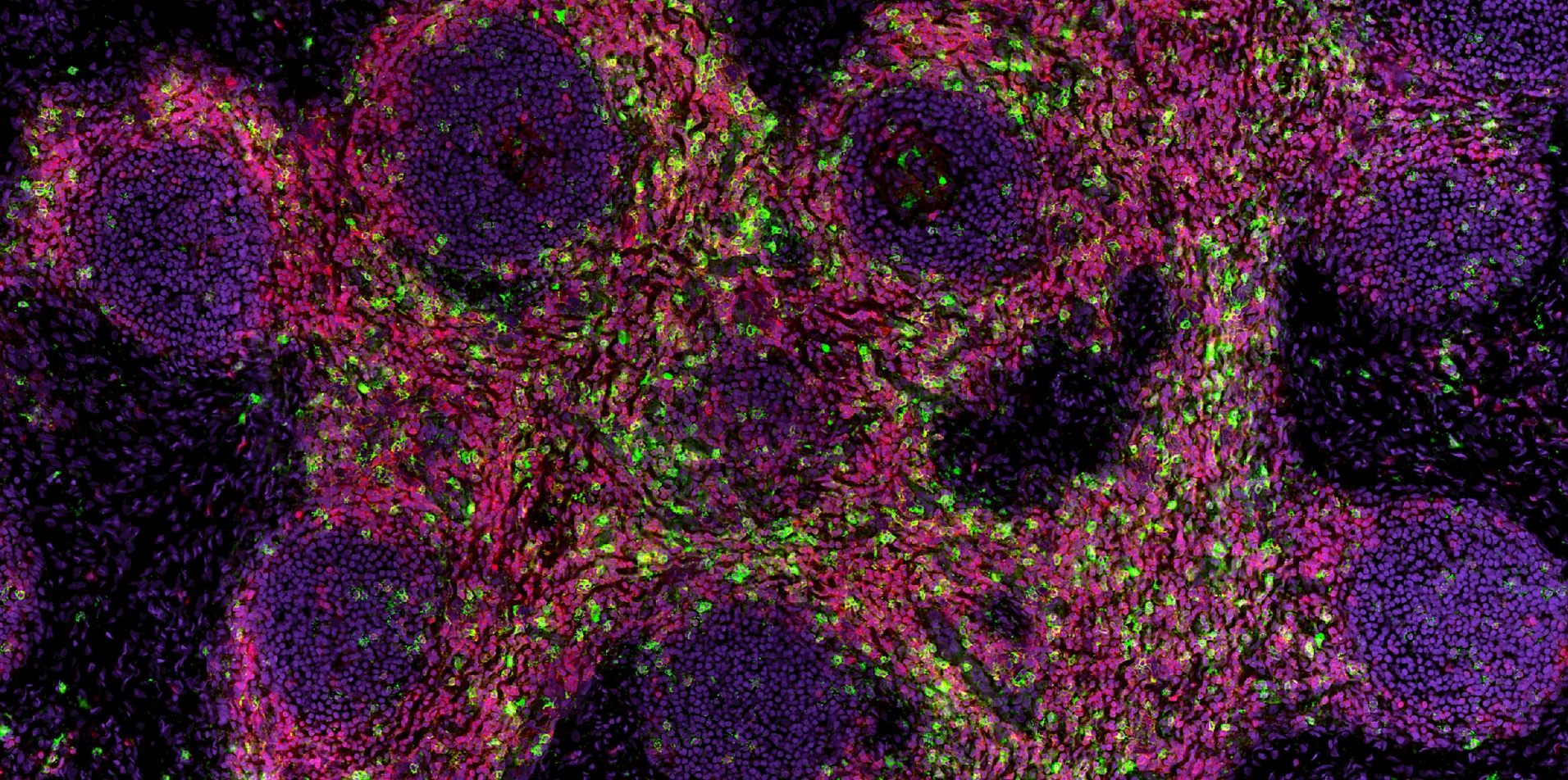
Rodriguez-Calvo_abd6527-f1

Key mechanisms of viral infection

We are interested on investigating if viruses and anti-viral immune responses can trigger or contribute to the pathogenesis of type 1 diabetes. We study possible molecular mimicry, induction of inflammatory cytokines and related molecules, and the immune response against enteroviruses.

Rodriguez-Calvo_Duodenum

The crosstalk between the duodenum and the pancreas

Alterations in the composition and diversity of the microbial populations in the gut have been observed in individuals who go on to develop type 1 diabetes. Reduced integrity of the gut barrier is also observed in pre- and recently diagnosed diabetic individuals. We think that the underlying genetic predisposition to type 1 diabetes promotes the disruption of immune tolerance, which might lead to the dysregulation of the mucosal barrier in the gut and the development of antigen-specific cells with potential to kill beta cells. We are investigating how the gut and the pancreas interact, and how this could lead to type 1 diabetes.

Rodriguez-Calvo_Caco-2 cells

New image analysis tools to study human tissues

Recently, human pancreas samples have become available through several biobanks worldwide, and this has opened numerous opportunities for scientific discovery. The use of new imaging technologies has unraveled many mysteries of the human pancreas not merely in the presence of disease, but also in physiological conditions. We are interested on applying new technologies and state-art image analysis to the study of the human pancreas and related tissues.

Rodriguez-Calvo_lymph_node

The pancreas innate immune system

The direct role of innate immune cells in the development of type 1 diabetes remains unknown in humans. We are interested on investigating the specific phenotypic signature of pancreatic innate immune cells, together with their dynamic distribution at different stages of the disease.

Media Coverage

magazine close up

New article in Spanish for the Journal of the Spanish Society of Diabetes (SED)

La progresión de la diabetes tipo 1 y la infiltración linfocitaria

Female reporter with microphone

Check out “Heard on the Street” recorded during Day 1 of Islet Study Group meeting 2023. Hear from Dr. Teresa Rodriguez-Calvo from Helmholtz Munich - Institute of Diabetes Research as she discusses her research.

Heard on the street: The sugar science

Stapel Zeitschriften

Relationship between type 1 diabetes, interferon response and viral infection is first step toward preventive therapies

New publication

Vintage microphone  and headphones with signboard on air

In this episode, Teresa Rodriguez-Calvo talks about her type 1 diabetes research

Podcast: The sugar science

Rodriguez-Calvo_pancreas_whole

Whole slide imaging of the pancreas to study type 1 diabetes

Collaboration with Zeiss

Rodriguez-Calvo_insulitis

Images of islets of Langerhans from diabetic organ donors

Celebration of the 100 years of the discovery of insulin

Hand holding trophy cup

Scientists of the Research Area

Porträt Teresa Rodriguez
Dr. Teresa Rodriguez-Calvo

Lead Scientist Research Group: Type 1 Diabetes Pathology

Profil anzeigen
Porträt Paola Apaolaza
Dr. Paola Stephanie Apaolaza Gallegos

Senior Scientist

Dr. Ery Petropolou

Senior Postdoc

Porträt Patricia Velado
Patricia Velado

PhD Student

Judit Rovira i Rubio

Technical Assistant

Samira Zamani

Technical Assistant

Fun with the team

Latest Publications

2025 Diabetes

Mallone R, Sims E, Achenbach P, Mathieu C, Pugliese A, Atkinson M, Dutta S, Evans-Molina C, Klatzmann D, Koralova A, Long SA, Overbergh L, Rodriguez-Calvo T, Ziegler AG, You S.

Emerging Concepts and Success Stories in Type 1 Diabetes Research: A Road Map for a Bright Future.
2024 Diabetologia

Apaolaza PS, Chen YC, Grewal K, Lurz Y, Boulassel S, Verchere CB, Rodriguez-Calvo T.

Quantitative analysis of islet prohormone convertase 1/3 expression in human pancreas donors with diabetes
2024 Science Advances

Vecchio F, Carré A, Korenkov D, Zhou Z, Apaolaza P, Tuomela S, Burgos-Morales O, Snowhite I, Perez-Hernandez J, Brandao B, Afonso G, Halliez C, Kaddis J, Kent SC, Nakayama M, Richardson SJ, Vinh J, Verdier Y, Laiho J, Scharfmann R, Solimena M, Marinicova Z, Bismuth E, Lucidarme N, Sanchez J, Bustamante C, Gomez P, Buus S; nPOD-Virus Working Group; You S, Pugliese A, Hyoty H, Rodriguez-Calvo T, Flodstrom-Tullberg M, Mallone R.

Coxsackievirus infection induces direct pancreatic β cell killing but poor antiviral CD8+ T cell responses.
2023 Diabetologia

Apaolaza PS, Balcacean D, Zapardiel-Gonzalo J, Rodriguez-Calvo T.

The extent and magnitude of islet T cell infiltration as powerful tools to define the progression to type 1 diabetes
2021 Science Advances

Paola S Apaolaza, Diana Balcacean, Jose Zapardiel-Gonzalo, Grace Nelson, Nataliya Lenchik, Pouria Akhbari, Ivan Gerling, Sarah J Richardson, Teresa Rodriguez-Calvo and the nPOD-Virus Group

Islet expression of type I interferon response sensors is associated with immune infiltration and viral infection in type 1 diabetes
2021 Diabetes

Teresa Rodriguez-Calvo, Yi-Chun Chen, C Bruce Verchere, Leena Haataja, Peter Arvan, Pia Leete, Sarah J Richardson, Noel G Morgan, Wei-Jun Qian, Alberto Pugliese, Mark Atkinson, Carmella Evans-Molina and Emily K Sims.

Altered β-Cell Prohormone Processing and Secretion in Type 1 Diabetes

Contact

Porträt Teresa Rodriguez
Dr. Teresa Rodriguez-Calvo

Lead Scientist Research Group: Type 1 Diabetes Pathology

Heidemannstraße 1, 80939 München

Profil anzeigen