Human heart with vessels, lungs, bronchial tree and cut rib cage.

Immunopathology of COPD

Yildirim/Conlon Lab

We want to understand which subtypes of T-cell play a role in the development of COPD - a major public health problem with prevalence as well as mortality still rising.

Follow us on X

We want to understand which subtypes of T-cell play a role in the development of COPD - a major public health problem with prevalence as well as mortality still rising.

Follow us on X

COPD - third leading cause of death worldwide

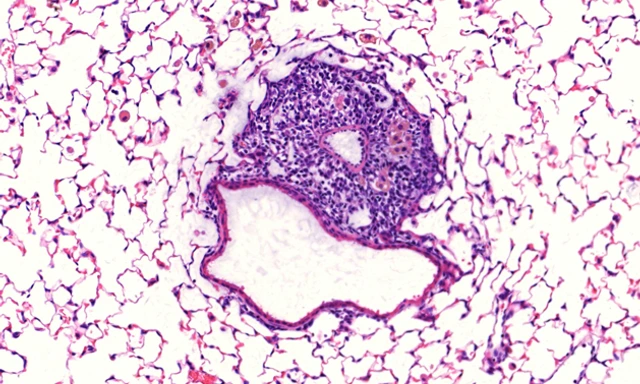
The stimulus of long-term exposure to toxic gases and most often cigarette smoke causes parenchymal lung tissue damage, remodeling of small airways, airway obstruction, and a subsequent decline in lung function. Innate inflammatory immune cells, i.e. neutrophils and macrophages, and CD8+ T cells have been described to be considerably involved in lung tissue damage in COPD. However, increasing evidence suggests that the inflammatory response of other specific immune cells, in particular CD4+ T and B cells present in the lungs of COPD patients, contributes to the pathogenesis of COPD. More studies are needed to understand the exact role and involvement of these immune cells in the chronic inflammatory response in COPD.

Promising therapeutic approach against COPD

In COPD, immune cells (B-cells and T-cells) form newly organized structures in the lung, follicles, which are known to play an important role in the disease progression. The formation of these structures requires the activation of a specific cellular receptor: the lymphotoxin beta receptor which is also a regulator of cell death. The death of epithelial lung cells is another feature of COPD observed in patients, preventing them from breathing effectively. We found that the blocking of lymphotoxin beta receptor signaling leads to the activation of so-called Wnt signaling. Wnt signaling is an essential pathway for lung development. In COPD patients this pathway gets switched off preventing the lung from being able to repair and regenerate.

Our work published in Nature journal offers great potential for implementing lung regenerative medicine approaches in the clinic. To achieve this ultimate goal we are testing the novel dual therapeutic approach in human clinical trials over the coming years. (See "Clinical Trials")

Scientists at Yildirim/Conlon Lab

Bake_Rebecca_Portrait
Dr. Rebecca Bake

Scientist

Christina Beck

PhD Student

Karl Biesemann

MD Student

Borndörfer_Sonja_Portrait
Sonja Borndörfer

PhD Student

Portrait Kübra Caglar LHI
Kübra Caglar

PhD Student

Portrait Sirui Chen LHI
Sirui Chen

PhD Student

Goracci_Chiara_Portrait
Dr. Chiara Goracci

Scientist

Porträt Christine Hollauer LHI
Christine Hollauer

Technical Assistant

Jagemann_Jakob_Portrait_LHI
Jakob Jagemann

Technical Assistant

Jeridi_Aicha_Portrait
Dr. Aicha Jeridi

Scientist

Mayer_Lena_Portrait
Lena Mayer

PhD Student

Ölken_Akova_Elif_Porträt_LHI
Elif Ölken Akova

Scientist

Riediger_Alisa_Portrait
Alisa Riediger

PhD Student

Sardogan_Aydan_Portrait
Aydan Sardogan

Scientist

Zala Serianz

MD Student

Sabrina Spiller

Guest Scientist

Tapken_Claas_Portrait
Claas Tapken

PhD Student

Tepho_Niels_Portrait
Niels Tepho

PhD Student

Portrait Lea Theilacker LHI
Lea Theilacker

PhD Student

Hilal Fatma Üstün

Master Student

Portrait Henu Verma LHI
Dr. Henu Kumar Verma

Scientist

Publications

Gut Microbes 17:2601376 (2025)

Selmi, H. ; Walker, A. ; Balas, L. ; Lucio, M. ; Klotz, M. ; Jeridi, A. ; Burrichter, A.G. ; Conti, D.V. ; Chaffringeon, L. ; Beinsteiner, B. ; Jasnin, M. ; Vanthuyne, N. ; Durand, T. ; Yildirim, A.Ö. ; Stecher, B. ; Debarbieux, L. ; Schmitt-Kopplin, P.

Ornithine lipids from Akkermansia muciniphila are dynamically modulated in colitis and shape macrophage inflammatory responses.
J. Control. Release 390:114539 (2025)

Martini, N. ; Deßloch, L. ; Sych, T. ; Berninghausen, O. ; Merl-Pham, J. ; Dijkstra, S. ; Carneiro, S.P. ; Frankenberger, M. ; Beckmann, R. ; Behr, J. ; Matschiner, G. ; Schuberth-Wagner, C. ; Yildirim, A.Ö. ; Jürgens, D.C. ; Sezgin, E. ; Merkel, O.M. ; Winkeljann, B.

Understanding excipient interactions unlocks untapped potential of RNA-lipid nanoparticles in dry powder formulations for local pulmonary delivery.
J. Allergy Clin. Immunol. Pract., DOI: 10.1016/j.jaip.2025.11.023 (2025)

Agache, I. ; Zemelka-Wiacek, M. ; Gawlik, R. ; Georas, S.N. ; Jahnz-Różyk, K. ; Kupczyk, M. ; Moniuszko, M. ; Mӧsges, R. ; Mukherjee, M. ; Nair, P. ; Papi, A. ; Sanak, M. ; Yildirim, A.Ö. ; Jutel, M.

Targeted treatment in asthma - opportunities and challenges.

Rittersberger, R. ; Covini, C. ; Kalgudde Gopal, S. ; Kumar, P. ; Voß, F. ; Martin, J. ; Deuter, F.M. ; Koslowski, G. ; Dabbars, A. ; Salcher, S. ; Blayac, M. ; Römisch, J. ; Murányi, A. ; Knoch, J. ; Yildirim, A.Ö. ; Conlon, T.M. ; Schmid, O. ; Hammerschmidt, S.I. ; Schindowski, K.

Inhalative polyclonal immunoglobulin G for the prevention of respiratory infections: A comprehensive in vitro assessment.
Clin. Transplant. 39:e70234 (2025)

Gerckens, M. ; Weiss, N. ; Khmelovska, D. ; Richard, A. ; Klemm, M. ; Plohmann, P. ; Arnold, P. ; Veit, T. ; Barton, J. ; Kauke, T. ; Schneider, C. ; Michel, S. ; Irlbeck, M. ; Yildirim, A.Ö. ; Behr, J. ; Kneidinger, N. ; Mümmler, C.

Pleural effusions requiring thoracocentesis are associated with baseline lung allograft dysfunction and mortality in lung transplant recipients.
Sci. Adv. 11:eadx8586 (2025)

Liu, Q. ; Yang, L. ; Li, C. ; Han, L. ; Wilmot, J. ; Yang, G. ; Leinardi, R. ; Zhou, Q. ; Schröppel, A. ; Kutschke, D. ; Secklehner, J. ; Yildirim, A.Ö. ; Huaux, F. ; Zeuschner, D. ; Carlin, L.M. ; Sperandio, M. ; Schmid, O. ; Stöger, T. ; Rehberg, M.

Alveolar macrophages initiate the spatially targeted recruitment of neutrophils after nanoparticle inhalation.
Allergy, DOI: 10.1111/all.70121 (2025)

Korkmaz, R.Ü. ; Omony, J. ; Tan, X. ; Klotz, M. ; Dragunas, G. ; Chen, S. ; Shankhwar, S. ; Ertüz, Z. ; Müller, C. ; Ragab, M. ; Jeridi, A. ; Augustin, R. ; Nawroth, J. ; Kapellos, T. ; Rankl, B. ; Yildirim, A.Ö. ; von Mutius, E.

The therapeutic potential of farm dust extracts in a mouse model of eosinophilic inflammation.
Allergy, DOI: 10.1111/all.70070 (2025)

Lunding, L.P. ; Weckmann, M. ; Zissler, U.M. ; Jakwerth, C.A. ; Bodenstein-Sgró, R. ; Webering, S. ; Vock, C. ; Ehlers, J.C. ; Fernandez Ceballos, R.A.M. ; Nemani, S.S.P. ; Reddy, K.D. ; Oliver, B.G.G. ; Vermeulen, C.J. ; van de Berge, M. ; Ober, C. ; Künstner, A. ; Busch, H. ; König, I. ; Garbers, C. ; Schmidt-Weber, C.B. ; Nold, M.F. ; Yildirim, A.Ö. ; Nold-Petry, C.A. ; Orinska, Z. ; Bahmer, T. ; Heyckendorf, J. ; Hansen, G. ; von Mutius, E. ; Rabe, K.F. ; Dittrich, A.M. ; Schaub, B. ; Brinkmann, F. ; Kopp, M.V. ; Wegmann, M.

Immune training of the interleukin 6 gene in airway epithelial cells is central to asthma exacerbations.
ERJ Open Res. 11:01141-2024 (2025)

Barnikel, M. ; Milger, K. ; Mertsch, P. ; Arnold, P. ; Leuschner, G. ; Veit, T. ; Gerckens, M. ; Mümmler, C. ; Barton, J. ; Ghiani, A. ; Yildirim, A.Ö. ; Dinkel, J. ; Neurohr, C. ; Behr, J. ; Kneidinger, N.

Classification and course of pulmonary hypertension associated with end-stage COPD.
Am. J. Respir. Crit. Care Med. 211, A3105 - A3105 (2025)

Deng, B. ; Trassl, L. ; Jia, J. ; Skiadas, G. ; Ntaliarda, G. ; Behrend, S.J. ; Schamberger, A.C. ; Yildirim, A.Ö. ; Stathopoulos, G.T. ; Asarian, L. ; Chateau, M.d. ; Fernandez, I.E.

Targeting KRAS-mutant Lung Adenocarcinoma Tumors Through IL-1ß Inhibition.

Contact

Portraet-Ali-Oender-Yildirim_freigestellt
Prof. Dr. Ali Önder Yildirim

Director Institute of Lung Health and Immunity

View profile

Contact

Thomas Conlon LHI
Dr. Thomas Conlon

Team Leader

View profile