Intervallfasten

Interview

Is Intermittent Fasting Universally Beneficial?

Prof. Stephan Herzig and Prof. Alexander Bartelt take a closer look at chronic intermittent fasting: Is your age important, and how does fasting impact the long-term maturation and function of β-cells?

Prof. Stephan Herzig, Prof. Alexander Bartelt and their team investigate the molecular basis of severe metabolic disorders, including the metabolic syndrome and type 2 diabetes, as well as their roles in cancer initiation and progression.

In this interview Prof. Alexander Bartelt gives insights in latests findings of intermittent fasting. 

Prof. Stephan Herzig and Prof. Alexander Bartelt take a closer look at chronic intermittent fasting: Is your age important, and how does fasting impact the long-term maturation and function of β-cells?  

Prof. Stephan Herzig, Prof. Alexander Bartelt and their team investigate the molecular basis of severe metabolic disorders, including the metabolic syndrome and type 2 diabetes, as well as their roles in cancer initiation and progression.

In this interview Prof. Alexander Bartelt gives insights in latests findings of intermittent fasting. 

 

“Previous findings based on adult mice have shown that time restricted eating like it is supposed in intermittent fasting aligns the metabolism with our internal clock and for that improves our metabolic health. The new findings show how important it is to have a closer look on different groups like different ages for personalized recommendations for prevention and therapy.”

Stephan Herzig

Prof. Stephan Herzig

Research Director at Helmholtz Munich, Director and Department Head of the Helmholtz Diabetes Center and Director of the Institute for Diabetes and Cancer.

How does your latest research challenge the idea that intermittent fasting is universally beneficial? 

AB: Intermittent fasting is a popular lifestyle with potential broad metabolic benefit. However, this notion is mostly based on studies in high-risk individuals, and no one really considered the possibility that the impact of this intervention might be dependent on your age. In a preclinical mouse study, we now show that while older mice showed the expected metabolic improvements after chronic intermittent fasting, these were absent in adolescent mice.

What are the unique risks of long-term intermittent fasting pose for younger people compared to the benefits for adults?

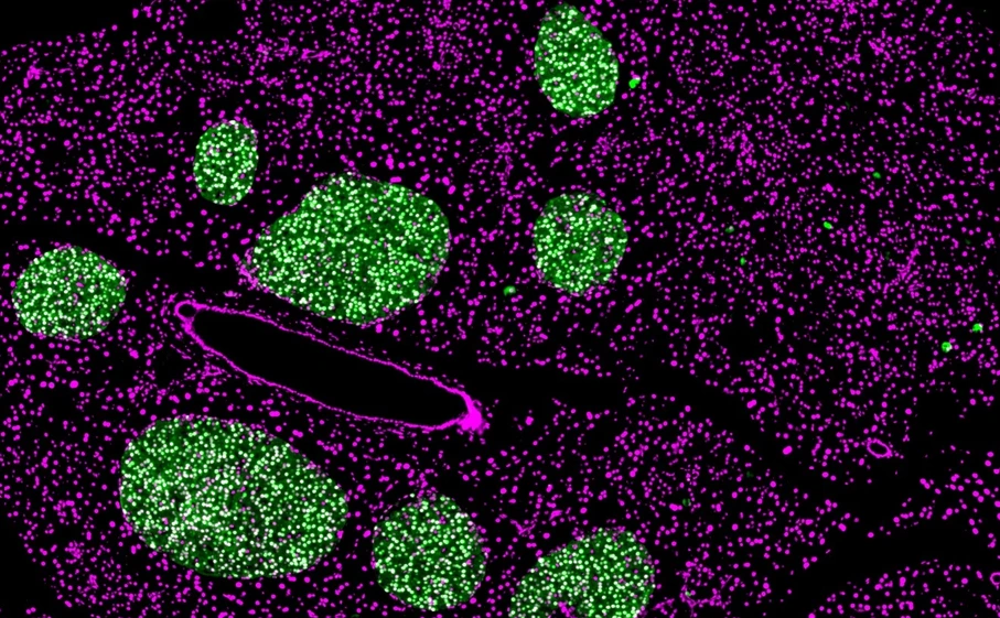
AB: Using single-cell RNA sequencing we created detailed transcriptomic profiles of Langerhans’ islets and focused on the analysis of beta-cells, which are key players in the development of diabetes. We found that after chronic intermittent fasting, the beta-cells of the young mice showed a developmental impairment, which was linked to reduced insulin secretion. This was not seen in adult mice.

How does the duration of intermittent fasting influence its effects on metabolism and pancreatic function? 

AB: Most people do short-term intermittent fasting and our study finds that 4 weeks also helps glucose metabolism in mice in all age groups. However, in a chronic setting, for example 10 weeks, this only helped adult mice. As there are so many vastly different intermittent fasting regimens, it remains to be shown if all types cause similar problems for development and metabolism.

What are your next research goals? 

AB: The most burning question is if the delayed development of the beta-cells can be reversed and if so, can this mechanism be therapeutically targeted. A very concerning problem is the loss of beta-cells in diabetes. If we found a way to enhance their maturation, we might be able to support beta-cell survival and regeneration. Our intermittent fasting study might have just provided new critical pieces to solving this puzzle.

What is Intermittent Fasting?

Intermittent fasting is an eating pattern that alternates between periods of eating and fasting. The focus is not on what you eat but when you eat. Common methods include the 16:8 method (fasting for 16 hours, eating within an 8-hour window) and the 5:2 method (eating normally for five days and significantly reducing calorie intake on two non-consecutive days). Intermittent fasting is often practiced for its potential health benefits, including improved metabolic health, weight management, and cellular repair processes.
 

About the Researchers

Profile Picture Alexander Bartelt

Prof. Dr. Alexander Bartelt

Prof. Dr. Alexander Bartelt is the Head of the Division Cardiovascular Immunometabolism at the Helmholtz Diabetes Center and the Else Kröner Fresenius Professor and Chair of Translational Nutritional Medicine at the TUM School of Life Science.

He investigates the fundamental molecular mechanisms underlying cellular stress in cardiometabolic diseases.

Key Achievements and Awards:

  • Karl Lohmann Prize of the German Society for Biochemistry and Molecular Biology (GBM)
  • European Atherosclerosis Society Young Investigator Award
  • Norman Salem Jr. Early Career Award of ISSFAL
  • Friedmund Neumann Prize of the Schering Foundation
  • ERC Starting Grant 2019

Contact: alexander.bartelt@med.uni-muenchen.de

Stephan Herzig

Prof. Stephan Herzig

Prof. Dr. Stephan Herzig is Research Director at Helmholtz Munich, Director and Department Head of the Helmholtz Diabetes Center and Director of the Institute for Diabetes and Cancer.

He joined Helmholtz Munich in 2015, initially as director of the Institute for Diabetes and Cancer. He is also scientific director of the Helmholtz Diabetes Center and research director. Stephan enjoys sharing his enthusiasm and experience and is involved in a wide range of scientific exchanges:

Conatct: stephan.herzig@helmholtz-munich.de

Related Articles

Latest update: February 2025